El bruxismo es un hábito oral que consiste en rechinar, chirriar o apretar los dientes de forma rítmica, involuntaria o espasmódica. Estos movimientos mandibulares pueden llevar a un trauma oclusal, es decir, una alteración en la forma en que encajan los dientes superiores e inferiores. En todos los casos, corresponde al odontólogo realizar la exploración y el diagnóstico.
Actualmente, muchas personas recurren a la compra de fundas dentales de plástico a través de internet, buscando prevenir el desgaste dental asociado al bruxismo. La publicidad de estos productos a menudo sugiere que también evitan los ronquidos. Sin embargo, los últimos estudios científicos aconsejan a los dentistas que dejen de colocar este tipo de aparatos si su única indicación es el desgaste dental o la presencia de ronquidos.
A menudo, el diagnóstico y tratamiento de problemas relacionados con el bruxismo y el desgaste dental ya no recaen únicamente en el dentista, sino que involucran a un equipo multidisciplinar de especialistas. Las placas de descarga, por ejemplo, requieren ajustes periódicos para mantener el equilibrio muscular deseado.
En muchos casos, los especialistas intentan tratar al paciente de forma aislada, logrando mejoras pero sin erradicar completamente el problema. Esto puede incluir la necesidad de polisomnografías, medicaciones para bajar la tensión, dietas para adelgazar, controles y reversiones coronarias, entre otros. En estas situaciones, se obvian defectos que influyen en el paso del aire por las vías respiratorias altas, los cuales podrían requerir cirugías de avanzamiento mandibular, cirugías de la faringe o el uso de aparatos de presión positiva de aire (CPAP). Las recomendaciones de las sociedades científicas de medicina del sueño, medicina dental del sueño, dolor orofacial y disfunción craniomandibular avalan este enfoque integral.
“Antes de dejarse seducir por precios ‘low cost’ de las páginas web de internet”, concluye el Prof. Tomás Escuin, “los pacientes deberían acudir a especialistas que conformen un equipo de tratamiento”.

Prótesis Híbridas sobre Implantes Dentales
En nuestra Clínica Dental en Almería, ofrecemos un tratamiento específico para pacientes que buscan una solución de dientes fijos sobre implantes dentales. Se trata de un tipo de prótesis sobre implantes que va atornillada y se mantiene fija, siendo lo más parecido a “volver a tener tus dientes” por su comodidad y ausencia de paladar.
Tipos de Coronas y Prótesis sobre Implantes Dentales
Coronas sobre Implantes Dentales de Metal Porcelana
Este es el material clásicamente utilizado para coronas sobre implantes. Su estética y durabilidad son muy altas.
Coronas sobre Implantes Dentales de Zirconio
Un material más novedoso que aporta una mayor dureza frente al metal porcelana y una estética aún mayor. Es más compatible con los tejidos y las encías.
Prótesis Híbrida de Dientes de Acrílico
Este material clásico consta de una estructura metálica interna (andamio) sobre la cual se colocan los dientes de acrílico.
Prótesis Híbrida de Dientes de Composite Reforzado
En este caso, se utilizan dientes de un material que amortigua y aguanta mejor las fuerzas, desgastándose menos que el acrílico convencional.

Proceso de Colocación de Prótesis Híbridas
El primer y más importante paso es realizar una planificación previa de la estética final, incluso antes de colocar los implantes dentales. Esta metodología simplifica la comunicación con el laboratorio, ya que se parte de un punto definido y se proyecta el resultado final. Además, permite reducir el número de citas y el tiempo total de confección de la nueva prótesis híbrida.
Una vez colocados los implantes dentales y transcurrido el tiempo de cicatrización oportuno (mínimo 3 meses), se toman las impresiones para confeccionar la nueva prótesis híbrida. Finalmente, se cita al paciente para la entrega de la prótesis híbrida fija sobre implantes dentales.
En esta cita, la prótesis se atornilla mediante tornillos intermedios a través de un orificio de acceso y se sellan para evitar la entrada de alimentos. Los primeros días, la posición de la lengua puede verse afectada, dificultando el habla o provocando mordeduras en labios y lengua. Pueden surgir roces de la prótesis que originen heridas, generalmente por bordes que invaden la mucosa o zonas cortantes.
Mantenimiento e Higiene de Prótesis sobre Implantes
La higiene de la zona alrededor de los implantes dentales es de vital importancia. Se debe cepillar con un cepillo de dureza media, como si fueran dientes propios, por todas las caras. Esto previene la inflamación de la encía y la periimplantitis (pérdida de encía y hueso de los implantes). Asimismo, se recomienda el uso de un irrigador dental.
Es necesario realizar un mantenimiento periódico, además de la higiene diaria. Si el desgaste dental afecta a la masticación o a la estética, es necesario realizar un remontaje de dientes.
En nuestra Clínica Dental MiBO en Almería, contamos con el Dr. Álvaro Navajas Acedo, especialista en implantología y prótesis sobre implantes, quien puede asesorarle sobre el material más indicado para su caso.
Desgaste Dental: Causas y Consecuencias
Con el paso del tiempo, los dientes pueden sufrir un desgaste progresivo del esmalte dental, generando mayor sensibilidad. Si nota que el grosor del esmalte aparece debilitado y se observa con mayor intensidad el color de la dentina (la capa interior del diente), es un indicio de desgaste.
Bruxismo
El bruxismo es la acción inconsciente de contraer la musculatura masticatoria y se considera un trastorno relacionado con el sueño. Este movimiento nocturno se produce de manera automática y genera una tensión frecuente y rítmica en los músculos masticatorios. Puede estar asociado a múltiples trastornos como dolor orofacial, enfermedades neurológicas, apnea del sueño y problemas dentales.
Atrición Dental
Una de las causas más comunes del desgaste dental es la malposición de las piezas dentales o de los huesos maxilares, conocida en odontología como ‘atrición’.
Abrasión Dental
La abrasión dental es el desgaste o pérdida progresiva del esmalte dental. Generalmente, se debe a una mala técnica de cepillado, el uso excesivo de ciertos productos o afecciones como caries o traumatismos dentales.
Factores Dietéticos y de Higiene
Nuestra boca puede sufrir cambios debido a la dieta. Alimentos o bebidas con alta cantidad de ácidos, como las bebidas carbonatadas, pueden afectar el esmalte. Mantener una limpieza bucal rigurosa y constante es crucial. Se recomienda utilizar un cepillo de cerdas suaves y realizar un cepillado no agresivo para no desgastar las piezas dentales.
Es fundamental realizar visitas periódicas al dentista para identificar la causa del desgaste dental y tratarlo adecuadamente.

Retracción de Encías: Un Problema Común
Las encías retraídas son un problema más frecuente de lo que a veces pensamos. La retracción gingival puede manifestarse de diversas formas:
- Dientes que parecen cada vez más largos.
- Infecciones dentales y caries: la encía es una barrera protectora contra las bacterias.
- Sensibilidad dental: la exposición de la raíz del diente, cuya superficie no es esmalte sino cemento, es más porosa y vulnerable.
Causas de la Retracción de Encías
- Cepillado fuerte: Una causa muy común, donde la encía se retrae debido a la presión excesiva.
- Pérdida de encía por ortodoncia: En algunos casos, el movimiento dental ortodóntico puede influir.
- Traumatismos: Como piercings en la boca.
- Enfermedad periodontal (Periodontitis): Esta enfermedad causa pérdida de hueso, lo que consecuentemente lleva a la pérdida de encía. A diferencia de otras causas, la periodontitis suele afectar a toda la boca.
- Factores genéticos: Algunas personas tienen predisposición genética a tener encías sensibles y sufrir retracción gingival.

¿Se Pueden Recuperar las Encías Retraídas?
La posibilidad de recuperar las encías retraídas depende de cada caso. La pérdida de encías por periodontitis es diferente, ya que si no hay hueso, no hay encía.
Tratamientos para la Retracción de Encías
- Injerto de encía (Cirugía mucogingival): Consiste en un trasplante de tejido conectivo del paladar a la zona de las encías retraídas. Requiere un especialista con experiencia para obtener los mejores resultados.
- Sistemas de desinfección: Para eliminar las bacterias acumuladas, como el Raspado y Alisado Radicular (Curetaje Dental).
En nuestras clínicas, utilizamos técnicas de microcirugía mínimamente invasiva para garantizar resultados óptimos y sin dolor. La cirugía plástica mucogingival puede realizarse también por motivos estéticos, y los pacientes suelen quedar muy satisfechos.
Si sospecha que tiene encías retraídas, es fundamental que un profesional evalúe su caso. En Sevilla y Dos Hermanas, ofrecemos tratamientos para la retracción de encías.
Fundas Dentales (Coronas Artificiales) y su Movilidad
Una funda dental, coloquialmente conocida como corona dental artificial, se coloca sobre un diente natural previamente tallado. Estas coronas ayudan a recuperar la función y/o estética perdida. Se indican cuando la integridad del diente se ve comprometida y se necesita un diente más fuerte y/o estético.
¿Qué es una Funda sobre Implante?
Cuando se pierde una pieza dental, un implante dental (tornillo de titanio insertado en el hueso maxilar) actúa como raíz artificial. Una funda o corona se coloca sobre este implante para restaurar la pieza dental.
¿Debería Moverse una Funda sobre Implante?
No, la funda sobre implante no debería moverse. Si nota que su corona sobre implante está suelta, gira o se mueve, es importante acudir a una clínica dental especializada lo antes posible, ya que ignorarlo puede derivar en la pérdida del implante.

Causas Comunes de la Movilidad de una Funda Dental
El aflojamiento de las coronas en los implantes dentales puede deberse a múltiples factores:
- Aflojamiento del tornillo protésico (pilar): El tornillo que une el implante con el pilar o la corona puede aflojarse por torque insuficiente en la colocación, sobrecarga masticatoria, bruxismo o mal diseño de la prótesis.
- Descementado de la funda (cuando está cementada): Si la corona va cementada, el cemento puede deteriorarse o no haber sido suficiente inicialmente, provocando que la funda se suelte.
- Problemas en el pilar o muñón: El pilar protésico puede estar suelto, mal ajustado o fracturado.
- Fractura interna de componentes: Con el tiempo o por sobrecarga, elementos como el tornillo de unión, el pilar o la propia corona pueden fracturarse.
- Infección periimplantaria (periimplantitis): Una infección del tejido alrededor del implante puede comprometer la estabilidad ósea y hacer que todo el conjunto pierda soporte.
¿Qué Hacer si una Funda sobre Implante se Mueve?
La recomendación principal es acudir a un especialista lo antes posible. En clínicas como CEID Barcelona, se realiza un diagnóstico completo con pruebas clínicas y radiológicas para determinar el origen del problema. Esto incluye:
- Revisión clínica de la prótesis.
- Radiografía periapical o TAC 3D para valorar el estado del implante y el hueso.
- Comprobación del ajuste del tornillo y del pilar.
- Evaluación de hábitos del paciente (bruxismo, higiene, alimentación).

Soluciones para la Movilidad de una Corona sobre Implante
La solución depende de la causa. Algunas intervenciones habituales incluyen:
- Reajuste o cambio del tornillo aflojado.
- Recementado de la corona.
- Sustitución del pilar protésico si está dañado.
- Reposición de la funda si está fracturada.
- Tratamiento de la periimplantitis, si la movilidad se debe a infección.
En la mayoría de los casos, actuando a tiempo, no es necesario retirar el implante. En situaciones específicas, puede ser necesario recurrir a injertos óseos.
Prevención de la Movilidad de Fundas sobre Implantes
La prevención y el mantenimiento a largo plazo son fundamentales para evitar complicaciones como la movilidad de fundas:
- Planificación adecuada del tratamiento: Un diseño correcto de la prótesis garantiza una distribución equilibrada de las cargas masticatorias.
- Control del bruxismo: El uso de una férula de descarga nocturna es recomendable si se detecta bruxismo.
- Mantenimiento y revisiones periódicas: Controles anuales o semestrales permiten detectar a tiempo cualquier signo de movilidad, inflamación o desgaste.
- Higiene oral rigurosa: Un cepillado adecuado, uso de hilo dental o irrigador bucal y limpiezas profesionales previenen infecciones.
- Dieta y hábitos: Evitar masticar alimentos extremadamente duros y modificar hábitos perjudiciales como fumar contribuye a la estabilidad de las coronas.
Una correcta higiene bucal, con cepillado al menos dos veces al día y uso de hilo dental, es esencial. Las visitas periódicas al dentista (cada seis meses) aseguran la salud del implante y las coronas.
| Causa | Solución | Prevención |
|---|---|---|
| Aflojamiento del tornillo | Reajuste o cambio del tornillo | Torque adecuado, evitar sobrecarga |
| Descementado de la funda | Recementado de la corona | Cemento de calidad, técnica adecuada |
| Problemas en el pilar | Sustitución del pilar | Diseño adecuado de la prótesis |
| Fractura interna | Reposición de la pieza dañada | Materiales resistentes, evitar sobrecarga |
| Periimplantitis | Tratamiento de la infección | Higiene oral rigurosa |

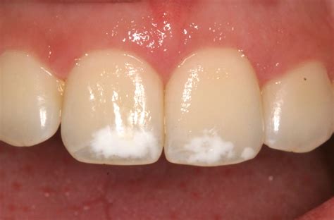
Hipoplasia Dental
La hipoplasia dental es una anomalía en el desarrollo del esmalte dental que se detecta a través de manchas y pequeños huecos en los dientes. Provoca un esmalte más débil o delgado, haciendo los dientes más vulnerables a caries y traumatismos. La detección precoz es fundamental para proteger el esmalte remanente.
Tratamientos para la Hipoplasia Dental
- Sellado dental y fluorización: Para casos leves, cubriendo desniveles con resina y fortaleciendo el esmalte con flúor.
- Reconstrucciones de composite (resina): Para erosionar el esmalte perdido, combinado con fluorizaciones.
- Restauraciones cerámicas: En casos más avanzados, utilizando incrustaciones o estructuras de cerámica.
- Blanqueamiento dental: Para mejorar la estética y unificar el tono de los dientes.
Mantener una buena rutina bucodental y acudir a revisiones periódicas es crucial para el manejo de la hipoplasia dental.

Movilidad de Implantes Dentales
No es normal que un implante dental se mueva. Esta situación, que suele ser la más grave, puede ocurrir cuando el implante no se ha osteointegrado correctamente en el hueso o hay una infección alrededor del implante.
Causas de la Movilidad de un Implante Dental
- Fallo en la osteointegración: El implante no se fusiona adecuadamente con el hueso.
- Infecciones: Mucositis periimplantaria y periimplantitis.
- Sobrecarga mecánica: Fuerza de mordida excesiva.
- Enfermedades sistémicas: Condiciones médicas que afectan la salud ósea.
Si nota que su implante dental se mueve, es fundamental acudir a un profesional experimentado.
tags: #adelgazamiento #funda #desgaste