El intestino humano es un sistema complejo y dinámico, y el tema de cuánto material fecal reside en tus intestinos -denominado “peso de las heces en los intestinos”- está cobrando atención tanto entre profesionales de la salud como entre personas interesadas en las pruebas del microbioma. En esta publicación exploramos cuánto peso de heces suele haber en tu cuerpo, qué revela sobre tu salud digestiva y del microbioma, y cómo distintos factores como la dieta, la hidratación y el estilo de vida contribuyen a la acumulación de heces.
Cuando la gente considera su salud, a menudo piensa en la frecuencia cardíaca, la presión arterial o el peso -pero rara vez contempla el peso de las heces en sus intestinos. "Peso de las heces en los intestinos" se refiere a la masa total de materia fecal presente en el tracto digestivo de una persona en un momento dado. Aunque pueda parecer una métrica extraña, tiene implicaciones importantes tanto para la salud intestinal como para el bienestar fisiológico general.
¿Cuánta Materia Fecal Hay en los Intestinos?
Fuentes científicas sugieren que el adulto medio porta entre 0,5 y 2 kilogramos (aprox. 1,1 a 4,4 libras) de heces en el colon, dependiendo de factores como la dieta, la hidratación, el metabolismo y la composición individual del microbiota intestinal. En personas con estreñimiento o movimientos intestinales irregulares, este peso puede aumentar significativamente.
La cantidad de materia fecal en los intestinos cambia constantemente y varía entre individuos. La producción diaria típica de heces en adultos que siguen dietas occidentales oscila, de forma amplia, entre 100 y 200 gramos al día. El tiempo de tránsito colónico promedio suele ser de 24 a 48 horas, con márgenes más amplios en personas con estreñimiento o diarrea. Es importante subrayar que estas cifras son aproximadas y no deben interpretarse como valores diagnósticos.
La materia fecal no es un simple “desecho inerte”. Es el resultado de procesos complejos de fermentación, absorción de agua y electrolitos, y renovación de la mucosa intestinal. Un grosor y consistencia adecuados de las heces facilitan la evacuación intestinal, ayudan a mantener el equilibrio de la microbiota y contribuyen a la integridad de la mucosa.
Una fracción importante del volumen fecal proviene de la fibra dietética no digerible y de sus productos de fermentación, que alimentan a bacterias beneficiosas y promueven la producción de ácidos grasos de cadena corta (AGCC), como el butirato, con funciones relevantes en la salud intestinal.

La Importancia del Peso Fecal en las Pruebas del Microbioma
¿Por qué importa esto en las pruebas del microbioma? Porque las heces proporcionan una muestra directa de la presencia y salud del microbiota. Cuando realizas una prueba del microbioma, el laboratorio analiza bacterias, hongos, virus y otros microorganismos presentes en tus heces. Una muestra pequeña representa el entorno intestinal más amplio, lo que significa que el volumen de heces in vivo puede afectar la interpretación.
Los métodos para analizar esto implican técnicas directas e indirectas. Empresas como InnerBuddies ofrecen kits que permiten recoger una muestra de heces en casa y enviarla para su análisis. Estas pruebas se centran en la secuenciación genómica, marcadores de actividad metabólica y puntajes de diversidad microbiana.
Un análisis de microbioma realizado sobre una muestra de heces no mide cuánta materia fecal hay en tus intestinos en un momento dado. Sin embargo, aporta información sobre la composición y, según el método, sobre el potencial funcional de tu comunidad microbiana. Abundancia relativa de grupos clave (p. ej., Bacteroidetes, Firmicutes, Actinobacteria) y la presencia de genes específicos para la fermentación de fibras o la producción de AGCC pueden correlacionarse con la salud intestinal general.
Factores que Influyen en el Peso y la Acumulación de Heces
Varios factores influyen en el peso de las heces en los intestinos. Las dietas ricas en fibra aumentan el volumen de las heces al retener agua. Los niveles de hidratación influyen en la suavidad y el volumen de las heces. La edad afecta la motilidad y el tiempo de tránsito, que a su vez determinan cuánto material se retiene.
Dieta y Fibra
Las dietas con alta fibra insoluble incrementan el volumen de heces al retener agua y acelerar el tránsito, mientras que las dietas pobres en fibra y líquidas pueden reducirlo. La fibra, especialmente la insoluble, retiene agua y añade masa, mientras que la fermentable alimenta a la microbiota, aumentando la biomasa bacteriana y la producción de ácidos grasos de cadena corta (AGCC).
Hidratación y Estilo de Vida
Los niveles de hidratación influyen en la suavidad y el volumen de las heces. La hidratación adecuada suaviza las heces y puede facilitar su tránsito, lo que suele mejorar la regularidad. El movimiento regular estimula la motilidad del colon y se asocia con mayor regularidad de las deposiciones. La inactividad física favorece el estreñimiento y la retención fecal.
Edad y Motilidad Intestinal
La edad afecta la motilidad y el tiempo de tránsito intestinal, que a su vez determinan cuánto material se retiene. Con el envejecimiento, la motilidad intestinal puede disminuir, lo que puede llevar a una mayor retención de heces.
Microbiota Intestinal
El microbioma intestinal es la comunidad de microorganismos que habita principalmente el colon. Estos microbios fermentan fibras y otros sustratos no digeribles, generando AGCC (acetato, propionato, butirato) y otros metabolitos. Un perfil microbiano con baja diversidad, escasez de productores de butirato o sobrecrecimiento de especies oportunistas puede modificar el tránsito y la fermentación. Por ejemplo, un exceso de fermentación rápida de carbohidratos puede aumentar el gas y la distensión, mientras que una menor producción de butirato se asocia con un entorno colónico menos favorable para la integridad epitelial. Un microbioma saludable se asocia con heces formadas y evacuaciones regulares.

Consecuencias de la Acumulación Excesiva de Heces
Una acumulación excesiva de heces puede traducirse en sensación de pesadez, distensión abdominal, malestar y, en casos más marcados, estreñimiento crónico. La retención prolongada de materia fecal puede favorecer la sequedad y el endurecimiento de las heces, lo que a su vez aumenta el esfuerzo defecatorio y el riesgo de fisuras anales o hemorroides. Además, un tránsito demasiado lento puede asociarse con mayor fermentación proteica y formación de compuestos potencialmente irritantes para la mucosa.
La acumulación excesiva de heces suele originarse en una motilidad lenta o estreñimiento crónico. Con el tiempo, esto puede distorsionar la estructura del colon, interferir con la absorción de nutrientes y perpetuar un ciclo de toxicidad y desequilibrio microbiano. Esta sobrecarga crea un microambiente alterado que favorece a bacterias patógenas sobre la flora comensal, pudiendo inflamar la mucosa intestinal e impedir la comunicación intestino-cerebro.
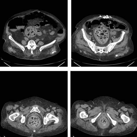
Fecaloma: Una Forma Extrema de Acumulación Fecal
Los fecalomas se definen como una masa de heces acumuladas, sobre todo a nivel del colon distal y del recto, con una presentación clínica muy diversa que puede incluir masas abdominales, retención urinaria o megacolon tóxico. Suelen producirse en el sigma y en el recto por la disminución progresiva del calibre y el fenómeno de la coprostasis, siendo más frecuentes en pacientes ancianos, con estreñimiento crónico o lesiones medulares.
Desde el punto de vista clínico, los fecalomas pueden pasar desapercibidos inicialmente debido a la presencia de diarrea por rebosamiento. También pueden manifestarse como masas abdominales que condicionan síntomas por compresión de estructuras vecinas, con clínica incluso extradigestiva como puede ser la incontinencia urinaria. En casos más avanzados llegan a producir megacolon tóxico o retención urinaria. Las complicaciones más severas son la insuficiencia respiratoria, la perforación intestinal o la uropatía obstructiva. La presentación en forma de obstrucción intestinal con dolor y distensión abdominal, náuseas y vómitos es rara.
El tratamiento del fecaloma debe ser inicialmente conservador con reposo digestivo, utilización de laxantes y de enemas, y con la extracción digital del mismo, siendo necesaria en ocasiones la anestesia general. El tratamiento endoscópico también está descrito, quedando reservado el tratamiento quirúrgico para cuando fallan estas medidas o cuando existe la posibilidad de desarrollo de complicaciones.

Evaluación de la Salud Intestinal y el Microbioma
El intestino no es solo un tubo que procesa alimentos -es un ecosistema intrincado donde convergen la digestión, la inmunidad y la armonía microbiana. La masa intestinal total, que incluye heces, enzimas digestivas, bacterias y fluidos intestinales, es un reflejo de lo que ocurre tras bambalinas en tu intestino.
Diferenciando Masa Intestinal y Peso Fecal
Primero, es esencial diferenciar entre la masa intestinal y el peso de las heces. Mientras que las heces son un subproducto de la digestión que contiene agua, bacterias, alimentos no digeridos y productos de desecho, la masa intestinal total contempla los componentes estructurales y biológicos de la pared intestinal, la capa mucosa y sus residentes micro y macroscópicos.
Pruebas del Microbioma y su Interpretación
Varios estudios clínicos ponen de manifiesto los extremos de variación en el peso de las heces. Por ejemplo, pacientes con estreñimiento crónico pueden portar más del doble de la carga fecal típica. Por el contrario, personas con condiciones de hipermotilidad o quienes siguen regímenes rigurosos para la salud digestiva podrían llevar menos desechos.
El microbioma intestinal es tan único como una huella dactilar. Dos personas con los mismos síntomas pueden tener perfiles microbianos y funciones metabólicas diferentes. Conocer la diversidad, la abundancia relativa de especies clave y sus rutas metabólicas (p. ej., genes para la degradación de fibras o la síntesis de butirato) orienta ajustes dietéticos más finos y estrategias de cuidado de la salud intestinal con mayor probabilidad de éxito.
Un análisis de microbioma puede ofrecer ideas accionables sobre qué ajustes realizar. En múltiples casos reportados, individuos con distensión crónica y niebla mental mejoraron tras implementar recomendaciones basadas en el perfil de su microbioma. La masa intestinal se redujo gracias a una mejor peristalsis, mientras que las bacterias beneficiosas florecieron en respuesta a nuevas introducciones prebióticas.
Calprotectina Fecal: Un Marcador de Inflamación Intestinal
Una prueba de calprotectina fecal mide una proteína llamada calprotectina en una muestra de heces. Es normal tener una pequeña cantidad de calprotectina en las heces, pero los niveles altos son una señal de que tus intestinos están inflamados. Cuando hay inflamación en los intestinos, el sistema inmunitario envía ciertos tipos de glóbulos blancos (neutrófilos) al área inflamada. La inflamación en los intestinos puede causar diarrea acuosa o sanguinolenta severa con dolor abdominal y/o calambres que duran más de unos pocos días.
La prueba de calprotectina fecal se usa para detectar inflamación en los intestinos. La enfermedad inflamatoria intestinal (EII) y el síndrome del intestino irritable (SII) son afecciones crónicas que afectan a niños y adultos y causan síntomas similares que pueden aparecer y desaparecer, como diarrea, dolor de estómago y calambres.
Los niveles normales o bajos de calprotectina generalmente significan que tus intestinos no están inflamados. Los altos niveles de calprotectina usualmente significan que tus intestinos están inflamados. Cuanto mayor sea la cantidad de calprotectina fecal, más inflamación habrá.
Digestión y Absorción de Nutrientes: Un Proceso Clave
El intestino humano es un órgano complejo de longitud variable, oscilando entre 3 y 8 metros, dependiendo de características individuales y de las técnicas empleadas en su medida. La función principal del intestino es conseguir una adecuada incorporación de nutrientes al organismo, y esto se lleva a cabo a través de los procesos de digestión y absorción de nutrientes.
Digestión de Lípidos
La absorción de grasas es un proceso muy eficiente, de tal manera que aproximadamente el 95% de los lípidos de la dieta son absorbidos a nivel intestinal. La digestión de los lípidos comienza en el estómago y ocurre de forma mayoritaria en el intestino delgado, involucrando la acción de enzimas como la lipasa gástrica y pancreática, y la formación de micelas mixtas con ácidos biliares para su solubilización y absorción.
Digestión de Proteínas
La digestión de las proteínas comienza en el estómago con la pepsina gástrica y continúa en el intestino delgado con las proteasas pancreáticas. Los productos resultantes de la digestión de las proteínas son aminoácidos libres y oligopéptidos, que son absorbidos en el intestino delgado.
Digestión de Hidratos de Carbono
La digestión de los hidratos de carbono comienza en la boca con la amilasa salival y continúa en el intestino delgado con la amilasa pancreática. Las enzimas del borde en cepillo hidrolizan los disacáridos y oligosacáridos resultantes a monosacáridos (glucosa, galactosa, fructosa), que son absorbidos por el enterocito.

Malabsorción e Intestino Irritable
Cuando las funciones de digestión y absorción fracasan, aparecen la maldigestión y la malabsorción. La malabsorción se refiere a alteraciones de la mucosa intestinal en la captación y transporte de nutrientes adecuadamente digeridos.
El síndrome del intestino irritable (SII) es un grupo de síntomas que ocurren juntos, incluyendo hinchazón, dolor y/o calambres al defecar y diarrea, estreñimiento o ambos. Los investigadores creen que el SII puede ser causado por un problema en el funcionamiento conjunto del cerebro y los intestinos.
Cuándo Buscar Atención Médica
Si experimentas síntomas persistentes (más de tres semanas), cambios marcados en el patrón de evacuación, sangre en heces, dolor significativo, fiebre, pérdida de peso involuntaria o anemia, es recomendable la evaluación médica. Si observas sangre en heces, pérdida de peso inexplicada, fiebre, dolor intenso, anemia o cambios marcados y persistentes en el patrón de evacuación, busca atención médica.