La obesidad es una enfermedad considerada una epidemia mundial, constituyendo un importante problema de salud pública. Durante las últimas dos décadas, la cirugía bariátrica se ha consolidado como el tratamiento de elección para el abordaje de la obesidad mórbida.

Técnicas Quirúrgicas Comunes en Cirugía Bariátrica
Las técnicas quirúrgicas por laparoscopia más empleadas en la actualidad incluyen:
- Derivación gástrica con reconstrucción en Y de Roux (BPGYR): Una de las técnicas mixtas más extendidas.
- Gastrectomía vertical en manga (GVM): Técnica restrictiva que reduce el tamaño del estómago.
- Derivación gástrica de una sola anastomosis (BPGUA): Una modificación de la técnica de derivación gástrica.
Los estudios fluoroscópicos gastrointestinales y la tomografía computada abdominal son herramientas esenciales para la evaluación de pacientes postoperados de estas intervenciones, permitiendo detectar posibles complicaciones o seguir la evolución del procedimiento.

La Obesidad Mórbida en México y su Abordaje Quirúrgico
La prevalencia de la obesidad mórbida en México ha experimentado uno de los incrementos más rápidos a nivel mundial entre 1988 y 2012, pasando del 9.5% al 35.2%. Ante esta situación, la cirugía bariátrica se presenta como una solución fundamental.
El objetivo de este artículo es describir los hallazgos radiológicos postquirúrgicos habituales en cada una de las diferentes técnicas de cirugía bariátrica con mayor frecuencia realizadas en el Hospital CIMA Hermosillo. Estas técnicas comprenden la derivación gástrica en Y de Roux (BPGYR), la gastrectomía vertical en manga (GVM) y la derivación gástrica de una anastomosis (BPGUA).
Estudio de Pacientes y Características Demográficas
Se realizó un análisis de datos de pacientes intervenidos en el Hospital CIMA Hermosillo. Las edades de los pacientes estudiados comprendieron de 17 a 65 años, con un índice de masa corporal (IMC) que oscilaba entre 28.9 y 62 kg/m². Los datos fueron categorizados según el tipo de cirugía bariátrica y el sexo.
No se encontraron diferencias estadísticamente significativas en la variable edad entre las distintas técnicas quirúrgicas ni en relación con el sexo. Sin embargo, al analizar el IMC, se observó que los hombres sometidos a BPGYR o BPGUA presentaron un IMC significativamente mayor (p < 0.05) en comparación con los pacientes sometidos a GVM.
Esta diferencia en el IMC puede explicarse por los criterios de selección para ciertas técnicas quirúrgicas en el Hospital CIMA, que priorizan a individuos con IMC > 44 o con comorbilidades asociadas como diabetes mellitus, dislipidemia e hipertensión arterial.
Cuadro 1: Comparativa de Cirugías Efectuadas
| Tipo de Cirugía | IMC Promedio (Varones) | IMC Promedio (Mujeres) | Diferencia Estadística (p < 0.05) |
|---|---|---|---|
| BPGYR | [Dato específico] | [Dato específico] | Significativo vs GVM |
| GVM | [Dato específico] | [Dato específico] | |
| BPGUA | [Dato específico] | [Dato específico] | Significativo vs GVM |
Nota: Los datos específicos del IMC para cada grupo se presentarían en una tabla completa.
Hallazgos Radiológicos Postquirúrgicos
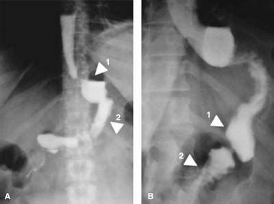
Figura 2: Anatomía Postquirúrgica de BPGYR

La anatomía postquirúrgica de la BPGYR en un paciente de 42 años, 24 horas después de la cirugía, muestra un adecuado paso del medio de contraste del esófago distal hacia el reservorio gástrico (aproximadamente 30 mL). No se evidencia fuga ni comunicación anómala. Tampoco hay signos de fugas o estenosis en la anastomosis gastroyeyunal. Se observa tránsito normal del medio hidrosoluble a través del asa alimentaria y opacificación completa del intestino delgado distal.
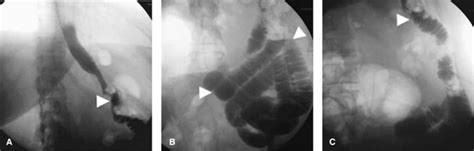
Figura 3: Anatomía Postquirúrgica de la GVM

La anatomía postquirúrgica de la GVM en un paciente masculino de 51 años, 24 horas después del procedimiento, revela un paso adecuado del medio de contraste hidrosoluble a través de la unión esofagogástrica. El estómago se presenta tubular, largo y delgado, sin evidencia de fugas o torsión. Se observa un vaciamiento gástrico normal y paso del contraste hacia el duodeno e intestino delgado.
Figura 4: Anatomía Postquirúrgica de BPGUA

La anatomía postquirúrgica de la BPGUA en una mujer de 38 años, 24 horas después de la cirugía, muestra el paso adecuado del medio de contraste hidrosoluble del esófago distal al reservorio gástrico. No se observa dilatación del reservorio ni fugas en el sitio de la anastomosis. Se aprecia la opacificación del asa eferente y aferente; esta última es esperada por reflujo retrógrado y normalmente desaparece con las ondas peristálticas.
Estudios de Imagenología en el Postoperatorio Temprano
La fluoroscopia de tracto gastrointestinal alto (FTGI) y el uso de colorantes como el azul de metileno son los estudios radiológicos más frecuentes en el postoperatorio temprano de la cirugía bariátrica, realizados entre 24 y 48 horas después del procedimiento.
La FTGI superior proporciona información detallada sobre las estructuras extraluminales y su alta resolución espacial permite evaluar tanto los cambios postquirúrgicos como las probables complicaciones que requieren atención inmediata, como fugas del medio de contraste o estenosis de las áreas anastomóticas.
🤔 ¿Cómo se realiza la cirugía de Manga Gástrica? Explicación 3D - Dra Pompa | LIMARP BARIATRIC
Técnicas Quirúrgicas Históricas y Actuales
La historia de la cirugía bariátrica se remonta a finales del siglo XIX, con observaciones sobre desequilibrios nutricionales tras resecciones intestinales. En la década de 1950, Payne realizó la primera derivación yeyunocólica, una técnica malabsortiva que pronto fue abandonada por sus complicaciones. Posteriormente, la yenunoileostomía se convirtió en la técnica preferida durante más de 20 años.
En 1967, Mason e Ito introdujeron la derivación gástrica, buscando solucionar los trastornos metabólicos de las técnicas malabsortivas. Esta técnica incorporó el componente restrictivo gástrico y sentó las bases para las técnicas mixtas.
Las gastroplastias restrictivas, introducidas por Printen y Mason en 1971, buscaban reducir la capacidad gástrica. Posteriormente, la banda gástrica, desarrollada por Wilkinson, Peloso, Kolle y Molina, se estableció como otro procedimiento restrictivo menos invasivo.
En la década de 1970, resurgieron los procedimientos malabsortivos, destacando la división biliopancreática (técnica de Scopinaro) publicada en 1981. Esta técnica, junto con la derivación gástrica, son consideradas las más importantes para el tratamiento de la obesidad mórbida, combinando aspectos restrictivos y malabsortivos.
En los años 90, Marceau propuso el cruce o switch duodenal, una modificación de la técnica de Scopinaro que conserva el píloro y realiza una resección gástrica en manga vertical.
La década de 1990 fue crucial para la consagración mundial de las técnicas quirúrgicas bariátricas. El trabajo de Walter Pories en 1995 destacó la efectividad de la cirugía para la diabetes del adulto, y un metaanálisis de Buchwald en 2004 consolidó su importancia.
La cirugía bariátrica ha evolucionado significativamente, y aunque aún no se ha encontrado la técnica "ideal", sigue siendo el tratamiento más eficaz para una reducción de peso sostenible y la mejora de comorbilidades asociadas.
Técnica de Scopinaro: Repercusión Nutricional y Complicaciones
La derivación biliopancreática clásica o técnica de Scopinaro se realiza extirpando una parte del estómago y creando un canal común para la digestión y absorción de alimentos. Con esta técnica se logran excelentes resultados en la pérdida de peso, pero es fundamental vigilar la aparición de efectos adversos secundarios a la alteración del proceso digestivo.
Los estudios retrospectivos sobre la técnica de Scopinaro en 40 pacientes (28 mujeres y 12 hombres) con una edad media de 38 ± 12 años y un IMC inicial de 52.5 ± 1.34, han mostrado:
- Una pérdida de peso promedio del 29.7% ± 2.9% al año, sin diferencias significativas entre sexos.
- Una reducción estadísticamente significativa en las cifras de colesterol total, triglicéridos, ácido úrico y transaminasas (p < 0.005).
- La corrección de las alteraciones del metabolismo hidrocarbonado en todos los pacientes.
- Todos los pacientes presentaron esteatorrea, lo que se correlacionó con déficits de vitamina D (p < 0.005) y vitamina A (p = 0.07).
- Se objetivó un descenso en los niveles de zinc, magnesio y fósforo.
Las conclusiones de estos estudios sugieren que la pérdida porcentual de peso esperada al año es de aproximadamente un 30%, acompañada de una mejoría metabólica significativa. La longitud del canal común influye en la esteatorrea y la pérdida absoluta de peso, condicionando un descenso en los niveles de zinc plasmáticos.
El alto porcentaje de pacientes con niveles deficitarios de vitaminas liposolubles subraya la necesidad de tratamiento suplementario desde el inicio, especialmente en pacientes con mayor grado de esteatorrea.

Complicaciones y Déficits Nutricionales Asociados a la Cirugía Bariátrica
La cirugía bariátrica, si bien efectiva, puede conllevar ciertos riesgos y complicaciones nutricionales:
- Anemia: Con una incidencia global del 35%, puede ser secundaria a ferropenia, déficit de ácido fólico (anemia megaloblástica) o, raramente, de B12. La suplementación reduce la incidencia a menos del 5%.
- Desnutrición proteica: Frecuente durante el primer año, puede requerir reversión del procedimiento si persiste.
- Déficits vitamínicos y minerales: Especialmente de vitaminas liposolubles en técnicas malabsortivas. La deficiencia de zinc se correlaciona con la esteatorrea y requiere suplementación precoz. La deficiencia de vitamina D es común, elevando los valores de PTH, y requiere suplementación oral.
Revisión de Técnicas y Consideraciones en Cirugía de Revisión
Las técnicas de cirugía bariátrica metabólica buscan disminuir la capacidad gástrica (restrictivas), reducir la absorción intestinal (hipoabsortivas) o combinar ambas (mixtas). La elección de la técnica depende de la cirugía previa y las características del paciente.
En casos de reganancia de peso tras una cirugía bariátrica, como en el ejemplo de una mujer de 44 años con obesidad mórbida y diabetes mellitus tipo II que ganó peso tras un bypass gástrico, se pueden realizar cirugías de revisión.
La conversión a la técnica de Scopinaro o a un bypass distal son procedimientos habitualmente descritos en cirugías de revisión de bypass gástrico en Y de Roux. Un alargamiento del asa biliopancreática se ha asociado con mayores pérdidas de peso y una mejoría en el efecto antidiabético.
La cirugía de revisión presenta una mayor dificultad técnica y una tasa de morbilidad más elevada. Es fundamental una exploración adecuada del intestino y la identificación precisa de las asas y su longitud para planificar la intervención, minimizando las secciones y anastomosis intestinales.
La conversión a una técnica tipo Scopinaro por laparoscopia es factible y puede ser útil en casos de reganancia de peso, incluso en pacientes con cirugía abierta previa.

tags: #scopinario #cirugia #bariatrica