El neumotórax es una condición médica caracterizada por la presencia de aire en la cavidad pleural, lo que puede generar un colapso pulmonar parcial o total. Esta acumulación de aire interfiere con la función normal de los pulmones, pudiendo variar desde síntomas leves hasta comprometer la vida del paciente.
Tipos de Neumotórax
El neumotórax puede originarse de diversas maneras, clasificándose principalmente en:
Neumotórax Espontáneo
Este tipo de neumotórax aparece sin ningún traumatismo previo ni procedimiento médico. Se subdivide en:
- Neumotórax Espontáneo Primario (NEP): Ocurre en pacientes sin enfermedad pulmonar subyacente conocida. Clásicamente, afecta a varones jóvenes, delgados y altos, con una edad comprendida entre los 20 y 30 años, aunque puede presentarse en un rango de 15 a 34 años. El tabaquismo y el consumo de marihuana aumentan significativamente el riesgo de padecer un NEP y su recurrencia. Se asocia a la ruptura de pequeñas vesículas aéreas subpleurales, conocidas como bullas o blebs, generalmente en el vértice del lóbulo superior. Hay una ligera mayor frecuencia de neumotórax derechos, y menos del 10% son bilaterales.
- Neumotórax Espontáneo Secundario (NES): Se produce en pacientes que ya padecen alguna enfermedad pulmonar de base, como enfermedad pulmonar obstructiva crónica (EPOC) grave, infecciones, fibrosis quística, asma bronquial, o neoplasias pulmonares. Es más frecuente en mayores de 55 años con patología pulmonar crónica.
Neumotórax Traumático
Es consecuencia de un traumatismo, ya sea abierto o cerrado, que provoca la entrada de aire entre las capas de la pleura. Esto puede ocurrir por fracturas costales que impactan en el pulmón o por la rotura directa del pulmón, bronquios o tráquea.
Neumotórax Iatrogénico
Se produce como resultado de procedimientos médicos diagnósticos o terapéuticos, como la punción venosa subclavia, biopsias pleuropulmonares, colocación de catéter venoso central, ventilación mecánica o reanimación cardiopulmonar.
Neumotórax Catamenial
Es una forma rara de neumotórax espontáneo secundario que aparece en mujeres en edad fértil, a menudo dentro de las 48 horas posteriores al inicio de la menstruación. Se asocia a la endometriosis intratorácica.
Factores de Riesgo y Perfil del Paciente
El paciente típico con neumotórax espontáneo primario suele presentar un perfil de complexión delgada y alta, con pulmones grandes y alargados. La incidencia es mayor en varones, con un riesgo casi 5 veces mayor en comparación con las mujeres (relación 6,2:1 en NEP frente a 3,2:1 en NES). La edad de máxima incidencia se sitúa en la juventud (10-30 años). El tabaquismo es un factor de riesgo significativo, aumentando la probabilidad de formación de blebs y la recurrencia del neumotórax. La historia familiar de neumotórax también se ha identificado como un factor predisponente.
Clínica y Síntomas
El diagnóstico de neumotórax debe considerarse ante cualquier dolor torácico o disnea de aparición brusca. La clínica puede ser sutil. Los síntomas predominantes son:
- Dolor torácico agudo: De carácter punzante, aumenta con la inspiración y la tos. Generalmente se localiza en la región axilar, propagándose al hombro y/o espalda (dolor en puntada de costado).
- Dificultad para respirar (disnea): De comienzo súbito y intensidad variable, en relación con el tamaño del neumotórax.
- Movimientos respiratorios rápidos y superficiales: Taquipnea e hipopnea.
- Taquicardia sinusal.
- Tos irritativa no productiva.
Es importante destacar que la gravedad de los síntomas no siempre se correlaciona directamente con el tamaño del neumotórax, sino más bien con la reserva funcional respiratoria del paciente. Existe un porcentaje de pacientes (alrededor del 10%) que pueden ser asintomáticos.

Exploración Física
En la exploración física se pueden observar:
- Inmovilidad del hemitórax afectado, o en raras ocasiones, abovedamiento del mismo.
- Disminución o abolición de las vibraciones vocales en el área afectada.
- Excursión de las bases pulmonares disminuida.
- Hiperresonancia a la percusión.
- Disminución de los ruidos respiratorios en el lado afectado.
Diagnóstico
El diagnóstico de neumotórax se basa en la clínica, la exploración física y pruebas de imagen.
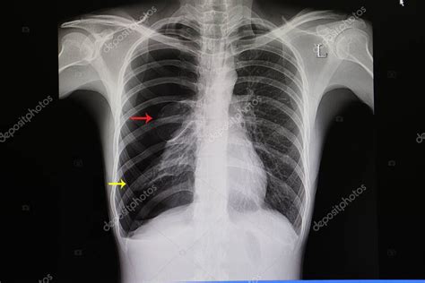
- Radiografía de Tórax: Es la herramienta diagnóstica inicial estándar. Se realiza una radiografía postero-anterior y en inspiración. En ocasiones, una radiografía en espiración forzada puede favorecer la visualización de neumotórax de pequeño tamaño.
- Tomografía Axial Computarizada (TAC) de Tórax: Se recurre a ella en casos específicos para identificar posibles bullas, blebs o lesiones pulmonares subyacentes, especialmente cuando el diagnóstico no está claro con la radiografía simple o para descartar patología que sugiera un neumotórax espontáneo secundario. No se recomienda de forma sistemática tras un primer episodio de NEP.
- Ecografía Torácica: Ha emergido como una herramienta útil para un diagnóstico rápido del neumotórax, especialmente en situaciones de urgencia.
El tamaño del neumotórax se define como el porcentaje del hemitórax que está vacío, calculado mediante fórmulas específicas. Los neumotórax pequeños (<10%) pueden pasar desapercibidos en la radiografía de tórax y requieren un rastreo cuidadoso de los reparos pulmonares.

Neumotórax a Tensión y Hemoneumotórax
Los neumotórax a tensión (o hipertensivos) son una emergencia médica que ocurre cuando el aire entra continuamente en la cavidad pleural sin poder salir, provocando un aumento progresivo de la presión intrapleural. Esto puede colapsar completamente el pulmón, desplazar el mediastino y comprometer el retorno venoso al corazón, llevando a hipotensión, paro respiratorio y cardíaco. Se diagnostican clínicamente y requieren descompresión inmediata con aguja, seguida de toracostomía con tubo.
El hemoneumotórax espontáneo se produce cuando coexiste sangre en la cavidad pleural junto con aire. Su frecuencia en el NEP es alrededor del 5% y suele originarse por la ruptura de una brida vascularizada pleuro-parietal. Si hay hemorragia persistente y deterioro hemodinámico, requiere tratamiento quirúrgico urgente.
Tratamiento del Neumotórax
El tratamiento del neumotórax depende del tipo, tamaño, sintomatología y características del paciente.
Manejo Conservador
En casos de neumotórax pequeño (<15-20% de colapso) y asintomático, se puede optar por un manejo conservador con observación y seguimiento radiológico. La reabsorción espontánea del aire puede ocurrir a un ritmo de 50-70 ml/día. Se recomienda observación en el hospital durante 24-48 horas para comprobar la evolución favorable.
Aspiración con Aguja o Catéter
Para neumotórax espontáneos primarios sintomáticos, la aspiración con aguja o catéter de pequeño calibre (7-9 F) es una opción. Se introduce un catéter en el tórax y se extrae aire con una jeringa hasta la expansión pulmonar o la eliminación de un volumen determinado de aire. Este procedimiento puede ser ambulatorio. Si el pulmón se expande, el catéter puede retirarse o mantenerse conectado a una válvula unidireccional (tipo Heimlich) para permitir la deambulación.
Drenaje Torácico
La toracostomía con tubo es el tratamiento estándar para neumotórax más grandes (más de un 20% de colapso) o sintomáticos, así como para neumotórax secundarios y traumáticos. Se inserta un tubo de drenaje pleural (de pequeño o grueso calibre, según preferencia y situación) conectado a un sello de agua, con o sin aspiración. Si el pulmón no se expande, debe mantenerse el tubo y el paciente hospitalizado. En algunos casos, se puede ir a casa con el tubo conectado a una válvula de Heimlich.

Tratamientos Quirúrgicos y Procedimientos para la Prevención de Recurrencias
La recurrencia del neumotórax es una complicación significativa, especialmente en pacientes jóvenes, con tasas que pueden alcanzar el 50% en los primeros dos años tras el primer episodio. Para prevenir futuras recurrencias, se consideran:
- Toracoscopia Médica (Mínimamente Invasiva): Permite la visualización y tratamiento de la cavidad pleural.
- Pleurodesis: Procedimiento que induce la adherencia de la pleura parietal y visceral para prevenir el colapso pulmonar. Puede ser:
- Química: Mediante la instilación de agentes como talco, tetraciclinas (doxiciclina, minociclina) o bleomicina en la cavidad pleural.
- Mecánica: Abrasión pleural, frotando la pleura para inducir inflamación y adherencias.
- Pleurectomía Parietal: Extirpación del revestimiento entre el pulmón y la pared torácica para fijar el pulmón a la pared torácica.
- Cirugía Toracoscópica Videoasistida (VATS): Técnica quirúrgica mínimamente invasiva que permite la resección de bullas y la realización de pleurodesis (mecánica o química). Se considera la técnica de elección en muchos centros, con incisiones pequeñas y menor morbilidad postoperatoria.
- Toracotomía Abierta: Procedimiento más invasivo que la VATS, con una incisión mayor en la pared torácica. Su uso para NEP es más reducido actualmente.
La indicación quirúrgica se considera en casos de fugas aéreas persistentes (fístula broncopulmonar), falta de expansión pulmonar tras drenaje, neumotórax a tensión, bilateralidad, o en pacientes con profesiones de riesgo (pilotos, buceadores). La cirugía ante un segundo episodio de NEP es una indicación frecuente.
Complicaciones del Neumotórax
Las principales complicaciones asociadas al tratamiento del neumotórax incluyen:
- Fugas de aire persistentes: Pueden deberse al defecto pulmonar primario o a filtraciones alrededor del tubo de tórax.
- Fracaso en la expansión del pulmón: Causado por fuga de aire persistente, obstrucción endobronquial, pulmón atrapado o mal posicionamiento del tubo torácico.
- Edema pulmonar por reexpansión: Ocurre cuando el pulmón se expande muy rápidamente tras un colapso prolongado.
Prevención de Recurrencias
La cirugía (preferentemente VATS con resección de bullas y pleurodesis) es el procedimiento más efectivo para prevenir la recurrencia del neumotórax, especialmente en casos de NEP recurrente, tras un primer episodio en profesiones de riesgo, o en neumotórax secundario. La pleurodesis química a través de un tubo de tórax es una alternativa si la VATS no es posible, aunque con una menor efectividad en la prevención de recurrencias.
El abandono del hábito de fumar es crucial para reducir el riesgo de recurrencia. La gran mayoría de los pacientes con NEP se recuperan completamente y pueden llevar una vida activa, aunque se recomienda precaución con ejercicios de alta intensidad y seguir las indicaciones médicas sobre la reintroducción a actividades deportivas.
¿CÓMO SE TRATA LAS EFUSIONES PLEURALES?
tags: #neumotorax #espontaneo #imc #medio