La biometría fetal constituye una prueba médica esencial durante el embarazo, permitiendo la evaluación del crecimiento y desarrollo del bebé a través de mediciones específicas obtenidas mediante ecografía. Esta práctica se lleva a cabo en distintos momentos de la gestación, con especial énfasis en el segundo y tercer trimestre, como parte de las ecografías rutinarias. Es importante destacar que la biometría fetal es un procedimiento no invasivo y completamente seguro tanto para la madre como para el feto.

Conceptos y Aplicaciones de la Biometría Fetal
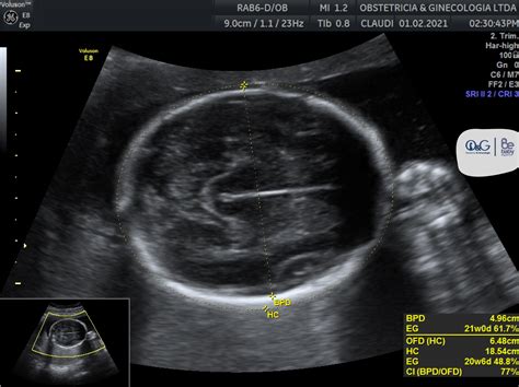
La biometría fetal se refiere al proceso de medir diversas partes del feto durante el embarazo para evaluar su crecimiento. Estas mediciones incluyen el tamaño de la cabeza, el abdomen y el fémur (hueso del muslo) del bebé, y se utilizan para estimar su peso y evaluar el desarrollo general. La biometría fetal se realiza habitualmente durante las ecografías prenatales de rutina, especialmente en el segundo y tercer trimestre del embarazo.
Mediciones Clave en la Biometría Fetal
La biometría fetal implica varias mediciones clave, cada una proporcionando información importante sobre el desarrollo del bebé:
- Longitud corona-rabadilla (LCC): Esta medida se toma generalmente durante el primer trimestre y evalúa la longitud del bebé desde la coronilla hasta la rabadilla.
- Diámetro biparietal (DBP): Representa la distancia entre los dos lados de la cabeza del bebé, medida a la altura del tálamo. Esta medida es una buena referencia del crecimiento fetal.
- Circunferencia de la cabeza (CC): Corresponde a la circunferencia de la cabeza del bebé.
- Circunferencia Abdominal (CA): La medición de la circunferencia abdominal del bebé ayuda a evaluar el crecimiento fetal y la función placentaria. La ecografía de la medición del perímetro del abdomen fetal en el tercer trimestre de embarazo corresponde al contorno del abdomen fetal ligeramente por encima del ombligo.
- Longitud del fémur (LF): Se mide la longitud del fémur (hueso del muslo) del bebé para evaluar el desarrollo esquelético.

Procedimiento y Preparación para la Ecografía
La biometría fetal se realiza comúnmente mediante un examen de ultrasonido. Se utilizan ondas de ultrasonido para crear imágenes del feto en el útero, las cuales son analizadas por un profesional de la salud para tomar las medidas necesarias. La preparación para una ecografía de biometría fetal es sencilla y no invasiva. Dependiendo del tipo de ecografía, es posible que se le pida a la madre que beba agua antes de la cita para asegurar una mejor visualización. Se recomienda usar ropa suelta y cómoda que permita un fácil acceso al abdomen.
Durante la ecografía, el técnico utilizará un transductor para enviar y recibir ondas sonoras que rebotan en el bebé, creando una imagen en una pantalla. Adicionalmente, la ecografía Doppler proporciona información sobre las características del flujo sanguíneo a través de los vasos, siendo la arteria umbilical y la arteria cerebral media los vasos más estudiados para el control del bienestar fetal. La ecografía 2D permite observar la placenta, diferenciando una placenta joven y en buen estado de una placenta envejecida, que puede presentar calcificaciones y cambios de textura.
Interpretación de los Resultados y Diagnóstico
Los resultados de la biometría fetal se utilizan para evaluar el crecimiento y el desarrollo del bebé en relación con la edad gestacional. Las mediciones se comparan con tablas de crecimiento estandarizadas para determinar si el feto está creciendo según lo esperado.
Crecimiento Fetal Normal y Alteraciones
- Crecimiento normal: Si las medidas fetales se encuentran dentro de los límites normales para la edad gestacional, es un indicio de que el bebé está creciendo bien y desarrollándose a un ritmo saludable.
- Restricción del Crecimiento Intrauterino (RCIU): Si las medidas del bebé están por debajo del rango esperado para la edad gestacional, podría indicar que el feto no está creciendo adecuadamente. Esto puede deberse a problemas con la placenta o a condiciones de salud de la madre. La variable biométrica circunferencia abdominal (CA), desde el segundo trimestre, se considera fiable en la detección de RCIU. Su existencia por debajo del décimo percentil debe ser una señal de certeza de su presencia, incluso si la condición trófica del recién nacido pareciera indicar otra realidad.
- Grande para la Edad Gestacional (LGA): Por el contrario, si las medidas fetales son mayores a las esperadas para la edad gestacional, podría indicar que el bebé está creciendo en exceso (macrosomía), lo cual puede estar asociado a condiciones como la diabetes gestacional.

Debate Terminológico: CIR vs. Biometría No Acorde
Existe un debate en la comunidad médica sobre la terminología utilizada para describir el crecimiento fetal alterado. El Dr. Herrera propuso la sustitución de los términos crecimiento intrauterino retardado (CIR) por biometría no acorde (BNA), y bajo peso para la edad gestacional (BPEG) por biometría por debajo del límite inferior del percentil 10 para la edad gestacional. Si bien esta propuesta busca atenuar la posible angustia materna y familiar, algunos especialistas consideran que supone una simplificación excesiva, ya que no diferencia adecuadamente entre fetos sanos y enfermos, ni aporta connotaciones etiológicas o pronósticas.
Al estudiar un feto con sospecha de alteración del crecimiento, es fundamental deslindar en primer lugar los embarazos no datados adecuadamente. Posteriormente, se identifican fetos que crecen en la parte baja de las curvas de crecimiento, pero de forma simétrica y con ganancia ponderal adecuada, que podrían ser constitucionales más pequeños pero sanos. Finalmente, se aborda el grupo de fetos enfermos, que no alcanzan su potencial de crecimiento genéticamente determinado. En estos casos, es crucial catalogarlos como CIR.
Un 25% de los fetos CIR pueden deberse a enfermedades fetales (anomalías cromosómicas, estructurales, infecciones), lo que requiere una ecografía morfológica detallada y, posiblemente, pruebas invasivas para el cariotipo fetal o estudios de infección. La mayoría de los fetos CIR (75%) se deben a causas placentarias, lo que significa que son fetos intrínsecamente sanos que enferman por recibir nutrientes insuficientes y están en riesgo de hipoxia. En estos casos, la circunferencia abdominal y la longitud femoral a menudo presentan un decalaje con respecto a los parámetros cefálicos. El diámetro transverso del cerebelo es muy útil, ya que es el último parámetro en afectarse en un CIR. El líquido amniótico suele estar disminuido, y la placenta puede ser gruesa con lagos sonoluscentes.
Aunque la ecografía Doppler refuerza la hipótesis de insuficiencia placentaria, el diagnóstico de CIR debe basarse exclusivamente en la biometría fetal. El Doppler fetal es crucial para determinar el momento óptimo de intervención en fetos pretérmino, equilibrando los riesgos de la prematuridad con los de mantener un feto en situación de hipoxia.
Es importante señalar que la disminución de la velocidad de crecimiento fetal puede iniciarse antes de sobrepasar el umbral del percentil 10. Asimismo, un feto con un alto potencial de crecimiento constitucional que crece de forma asimétrica también puede estar afectado de restricción del crecimiento. La falta de concreción en un informe ecográfico sobre un feto pequeño es criticable, aunque a veces facilita una derivación para diagnóstico y una estrategia de vigilancia adecuada.
RESTRICCIÓN DEL CRECIMIENTO INTRAUTERINO
Estudios y Correlaciones Biométrica
Diversos estudios han investigado la correlación de la biometría fetal estándar y secundaria con la edad gestacional. Un estudio transversal analítico realizado en el Hospital III Honorio Delgado de Arequipa, Perú, evaluó 140 gestantes del segundo y tercer trimestre. Se encontró que todos los parámetros biométricos tuvieron buena correlación con la edad gestacional (EG), siendo la longitud del fémur (LF) la que presentó la mejor correlación (r² = 0,943), seguida por la longitud del pie (LP) (r² = 0,940), y la más baja correlación fue la de la longitud renal (LR) (r² = 0,860). En el tercer trimestre, las correlaciones fueron generalmente más bajas que en el segundo.
Otro estudio longitudinal descriptivo y retrospectivo en gestantes de Santa Clara, Cuba, determinó mensuraciones biométricas fetales asociadas a la restricción del crecimiento fetal. Se observó que predominaron los valores por debajo del décimo percentil en todas las biometrías y en los dos últimos trimestres. En la totalidad de los infantes y durante todo el período fetal, la circunferencia abdominal (CA) se mantuvo por debajo del percentil 10. Este hallazgo es lógico, ya que la posición percentilar de esta variable, igual o por debajo de 2,5, es lo que define la condición de RCIU según la Federación Latinoamericana de Sociedades de Obstetricia y Ginecología (FLASGO).
Se ha demostrado que la variable biométrica circunferencia abdominal (CA), desde el segundo trimestre, es fiable en la detección de RCIU. Su existencia por debajo del décimo percentil debe servir como certeza de su presencia, aun cuando la condición trófica del recién nacido parezca revelar otra realidad. El uso adecuado de las variables biométricas fetales por el médico de familia y obstetra del área de salud ayudaría en la prevención, diagnóstico y seguimiento de las restricciones del crecimiento intrauterino.
Consideraciones Adicionales
La biometría fetal es un método de gran precisión para evaluar el crecimiento y desarrollo fetal. Si el tamaño del bebé es menor al esperado, podría indicar una restricción del crecimiento intrauterino (RCIU). Por el contrario, si el tamaño es mayor al esperado, puede ser un síntoma de macrosomía. La biometría fetal puede ayudar a estimar la edad gestacional, pero no se utiliza para predecir la fecha exacta del parto. La frecuencia de las ecografías fetales depende del embarazo y de los riesgos asociados.
En Viamed Salud, se cuenta con equipos de última generación y especialistas altamente capacitados para realizar la biometría fetal, asegurando una evaluación precisa y segura del desarrollo del bebé durante el embarazo.
tags: #biometria #fetal #circunferencia #abdominal